A Guide To Understanding Pseudomyxoma Peritonei

V.Ijoomla 148 views
A Guide To Understanding Pseudomyxoma Peritonei

A Guide to Understanding Pseudomyxoma Peritonei

Hey guys, let’s dive into a topic that’s pretty serious but super important to understand: Pseudomyxoma Peritonei (PMP) . You might be scratching your head, wondering what on earth that is. Well, PMP is a rare medical condition that affects the abdominal cavity. It’s characterized by the slow-growing accumulation of mucinous (jelly-like) fluid and a specific type of tumor that spreads throughout the peritoneum, which is the lining of the abdominal organs. It often originates from a ruptured or ‘leaking’ appendix tumor, but can also arise from ovarian, colorectal, or other gastrointestinal tumors. The key thing to remember about PMP is its insidious nature. It doesn’t usually cause dramatic, acute symptoms early on. Instead, it’s a slow burn, leading to a gradual distension of the abdomen, discomfort, and a feeling of fullness. As the mucinous material builds up, it can press on other organs, leading to issues with digestion, bowel obstruction, and pain. Early diagnosis is crucial, but often elusive because the symptoms can be vague and mimic other, more common conditions. Think of it like a slow-acting internal bloat that just keeps getting worse. The diagnosis usually involves imaging techniques like CT scans or MRIs, which can show the characteristic mucinous ascites, and often requires a surgical exploration for definitive diagnosis and staging. The treatment approach for PMP is complex and typically involves a multidisciplinary team of specialists, including surgeons, oncologists, and pathologists. The goal is often to remove as much of the tumor and mucinous material as possible, a procedure known as cytoreductive surgery, often combined with hyperthermic intraperitoneal chemotherapy (HIPEC), where heated chemotherapy is washed through the abdominal cavity. It’s a tough battle, but understanding the condition is the first step in fighting it. We’ll explore the causes, symptoms, diagnosis, and treatment options in more detail to give you a clearer picture of this challenging disease.

Understanding the Roots: What Causes Pseudomyxoma Peritonei?

So, what exactly kicks off this whole PMP situation? Most of the time, Pseudomyxoma Peritonei originates from a primary tumor in the appendix. Yep, that little worm-like organ at the beginning of your large intestine, which we often think of as useless, can sometimes be the culprit. Specifically, it’s often a low-grade mucinous neoplasm of the appendix that either grows and then ruptures, or develops into a larger tumor that eventually bursts. When this happens, the cells from the tumor, which are specialized to produce mucin (that jelly-like stuff), spill into the abdominal cavity. These cells are pretty tenacious and can then implant themselves all over the peritoneum, the membrane that lines your abdominal organs. They continue to produce mucin, leading to the characteristic build-up of this gelatinous material throughout your belly. While the appendix is the most common source, PMP can also arise from other areas. Sometimes, it starts in the ovaries, and in rarer cases, it can be linked to tumors in the colon, rectum, or even the gallbladder. Regardless of the origin, the behavior is similar: mucin-producing cells spread throughout the peritoneum. It’s important to note that PMP is not contagious, and it’s not something you ‘catch’ from someone else. It’s a disease that develops within your own body. The exact reasons why an appendix (or other organ) develops into a mucinous tumor and then ruptures aren’t fully understood. Genetics might play a small role in some cases, but for the majority, it seems to be a spontaneous event. Think of it as a glitch in the cellular programming of that specific organ. The cells that are supposed to behave in a certain way start producing excessive mucin and behaving abnormally, eventually spreading their influence. The ‘low-grade’ aspect is important here; these tumors are typically slow-growing, which is why PMP can go unnoticed for years, accumulating mucin gradually. It’s this slow progression that often makes diagnosis tricky, as the symptoms can be subtle and easily dismissed until the disease has progressed significantly. Understanding that it starts from a specific type of tumor and involves the spread of mucin-producing cells is key to grasping the nature of PMP .

The Sneaky Symptoms: How to Spot Pseudomyxoma Peritonei

Alright guys, let’s talk about the signs and symptoms of Pseudomyxoma Peritonei (PMP) . The tricky part about PMP is that its symptoms are often vague and can mimic a lot of other, less serious conditions. This is why it can take a while for people to get a proper diagnosis. The most common symptom, and often the earliest noticeable one, is a gradual increase in abdominal girth, or a feeling of bloating. Your belly might just feel consistently full, even if you haven’t eaten much. Some folks describe it as feeling like they’ve swallowed a balloon. This happens because of the slow accumulation of mucinous fluid in the abdominal cavity. As this jelly-like substance builds up, it can start to put pressure on your digestive system. This can lead to changes in bowel habits, such as constipation or diarrhea, and sometimes even abdominal pain or discomfort. The pain might be dull and achy, or it can become more sharp if there’s a significant build-up or pressure. You might also experience nausea or vomiting, especially if the tumor is causing a partial bowel obstruction. Some people report a loss of appetite and unexplained weight loss, which, ironically, might seem counterintuitive given the increasing abdominal size, but it’s due to the impact on digestion and nutrient absorption. You might also feel fatigued or generally unwell. Hernias, particularly umbilical hernias (outies), can develop or worsen due to the increased abdominal pressure. It’s really important to listen to your body. If you notice persistent bloating that doesn’t go away, a feeling of fullness, changes in your digestion, or unexplained abdominal discomfort that’s gradually worsening, don’t brush it off. These symptoms might seem minor at first, but if they persist or intensify, it’s worth getting them checked out by a doctor. Because PMP is rare, doctors might not immediately suspect it. So, if you’re experiencing these symptoms, it might be helpful to mention PMP as a possibility, especially if you have a history of appendiceal tumors or other relevant conditions. Early detection is absolutely key for the best possible outcomes with PMP , so don’t hesitate to seek medical advice if something feels off.

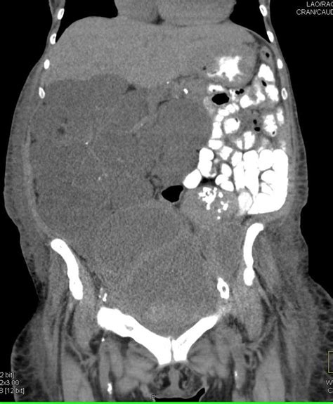
The Diagnostic Journey: Uncovering Pseudomyxoma Peritonei

Diagnosing Pseudomyxoma Peritonei (PMP) can be a bit of a detective game, guys, because, as we’ve mentioned, the symptoms can be pretty sneaky. When you go to the doctor with persistent bloating, abdominal discomfort, or changes in bowel habits, they’ll likely start with a thorough physical examination. They’ll be feeling your abdomen for any swelling, masses, or tenderness. Then, they’ll usually move on to imaging tests. The most common and effective imaging tool for PMP is a CT scan (computed tomography) of the abdomen and pelvis. This scan can often show the characteristic mucinous ascites – that’s the fancy medical term for the jelly-like fluid filling the abdominal cavity. It can also help identify the primary tumor, if it’s still visible, and see how widespread the disease is. Sometimes, an MRI (magnetic resonance imaging) might be used, which can provide even more detailed images of soft tissues. Blood tests are also usually done, but they typically don’t provide a definitive diagnosis for PMP . They can help rule out other conditions and check your overall health. In some cases, a procedure called diagnostic laparoscopy might be performed. This is a minimally invasive surgery where a small camera is inserted into the abdomen through tiny incisions. This allows the surgeon to directly visualize the abdominal cavity, assess the extent of the PMP , and take biopsies of any suspicious areas. Biopsy results are crucial because they confirm the presence of the specific type of mucinous tumor cells characteristic of PMP . The definitive diagnosis is usually made by a pathologist examining tissue samples under a microscope. It’s important to remember that sometimes, PMP is discovered incidentally during surgery for another condition, like an appendectomy, if the appendix is found to be ruptured or abnormal. Because PMP is rare, it’s essential to be seen by specialists who have experience with this condition. They’ll know what to look for on the scans and how to interpret the findings. The diagnostic process can sometimes take time, and it’s natural to feel anxious, but getting an accurate diagnosis is the critical first step towards effective treatment.

Treatment Strategies: Fighting Back Against Pseudomyxoma Peritonei

When it comes to tackling Pseudomyxoma Peritonei (PMP) , the treatment approach is pretty specialized, and it’s all about getting rid of as much of that mucinous tumor and fluid as possible. The gold standard treatment, and often the most effective, is something called Cytoreductive Surgery (CRS) combined with Hyperthermic Intraperitoneal Chemotherapy (HIPEC) . Let’s break that down. Cytoreductive surgery is a major operation where the surgical team meticulously removes all visible tumor implants and the jelly-like mucin from the abdominal cavity. They’ll remove parts of organs if necessary, like a section of the bowel or omentum (a fatty apron in the abdomen), if they are involved with the tumor. The goal is to achieve what’s called