Internal Iliac Artery Aneurysm: A Comprehensive Guide

V.Ijoomla 122 views
Internal Iliac Artery Aneurysm: A Comprehensive Guide

Understanding Internal Iliac Artery Aneurysms: A Deep Dive

Hey everyone! Today, we’re going to tackle a topic that might sound a bit intimidating at first glance: Internal Iliac Artery Aneurysms . But don’t worry, guys, we’re going to break it down into manageable pieces. Think of this as your go-to guide to understanding what these aneurysms are, why they happen, and what you need to know. So, grab a comfy seat and let’s get started on this crucial health information journey. We’ll be covering everything from the basics to the more complex aspects, ensuring you walk away with a solid understanding. This isn’t just about medical jargon; it’s about empowering you with knowledge to potentially help yourself or a loved one.

What Exactly Is an Internal Iliac Artery Aneurysm?

Alright, let’s start with the fundamental question: What is an internal iliac artery aneurysm? Basically, your iliac arteries are major blood vessels that branch off from your aorta in your abdomen and extend down into your pelvis and legs. The internal iliac artery, also known as the hypogastric artery, is one of these crucial branches that supplies blood to your pelvic organs, buttocks, and thigh. Now, an aneurysm is essentially a bulge or ballooning in a weakened spot of the artery wall. When this happens in the internal iliac artery, we call it an internal iliac artery aneurysm. These aneurysms can be tricky because they might not cause any symptoms, especially when they’re small. However, the real concern is that they can grow, and if they rupture, it can lead to severe, life-threatening internal bleeding. It’s like a weak spot in a tire that starts to bulge – it might seem okay for a while, but the pressure can eventually cause it to burst. Understanding this basic definition is the first step to appreciating the importance of this medical condition. We’re talking about a significant blood vessel here, one that’s vital for supplying blood to a really important region of your body. The walls of our arteries are usually strong and elastic, designed to handle the constant flow of blood pumped by our heart. But sometimes, due to various factors, these walls can weaken. This weakening can be caused by a number of things, which we’ll delve into later, but the outcome is the same: a localized dilation or outpouching. The size of the aneurysm can vary greatly, from a small pea-sized bulge to a much larger, more concerning expansion. And it’s not just about the size; the location within the internal iliac artery can also play a role in how it’s managed and the potential risks involved. The internal iliac artery itself is a complex network, branching out to supply a variety of structures. Any problem within this network, especially a weakened and bulging section, needs careful attention. So, to recap, an internal iliac artery aneurysm is a focal dilation or bulging of the wall of the internal iliac artery, stemming from a weakened area. It’s a serious condition because of the risk of rupture and subsequent hemorrhage. Keep this definition in mind as we move on to exploring the causes and symptoms, guys.

Why Do These Aneurysms Develop? Common Causes and Risk Factors

Now that we know what an internal iliac artery aneurysm is, let’s talk about why they happen. Understanding the causes and risk factors is super important for prevention and early detection. So, what makes these artery walls decide to weaken and bulge? Well, it’s often a combination of things, but some common culprits include atherosclerosis , which is basically hardening of the arteries. This is a super common condition where plaque builds up inside your arteries, making them stiff and narrow, and over time, it can weaken the artery walls. Another big one is high blood pressure (hypertension) . Constantly having high blood pressure puts extra strain on your artery walls, and this relentless pressure can lead to weakening and dilation. Think of it like continuously over-inflating a balloon – eventually, the material starts to stretch and thin out. Genetics also play a role; if aneurysms run in your family, you might have a higher risk. Certain infections can also weaken artery walls, though this is less common than atherosclerosis. Sometimes, trauma to the pelvic area can contribute, though again, this is not the typical cause. And speaking of risk factors, guys, a few things can increase your chances of developing one. Age is a significant factor; the older you get, the more likely you are to develop arterial issues. Smoking is another major risk factor – it damages blood vessels and significantly contributes to atherosclerosis. If you have a history of other aneurysms, like an abdominal aortic aneurysm, you might also be at higher risk for an internal iliac artery aneurysm. Men also tend to develop aneurysms more often than women, and certain connective tissue disorders , like Marfan syndrome, can predispose individuals to arterial weakness. It’s really a multifactorial issue, and recognizing these factors is key. For instance, someone with long-standing, poorly controlled hypertension who also smokes and is in their 70s is definitely in a higher risk category. Conversely, a young, healthy individual with no family history and a clean lifestyle is at much lower risk. However, it’s important to remember that anyone can develop an aneurysm, so staying informed is always the best policy. The interplay between these factors is complex. Atherosclerosis, for example, can be exacerbated by high blood pressure and smoking, creating a perfect storm for arterial wall weakening. Understanding these connections helps us appreciate the importance of lifestyle choices in managing vascular health. So, let’s recap the main causes and risk factors: atherosclerosis, hypertension, genetic predisposition, age, smoking, and certain infections or traumas. Being aware of these can prompt you to have more regular check-ups if you fall into a higher-risk category, which is the ultimate goal here – proactive health management.

Recognizing the Signs: Symptoms of Internal Iliac Artery Aneurysms

This is where things can get a little tricky, because, as we mentioned, internal iliac artery aneurysms often don’t show any symptoms , especially when they are small. This is why they are sometimes called ‘silent threats.’ However, if an aneurysm starts to grow larger, or if it begins to press on nearby structures, you might start experiencing some signs. These symptoms can be quite varied and often depend on the exact location and size of the aneurysm, as well as what it might be pressing against. Some individuals might feel a deep, persistent pain in their pelvis, hip, or lower back . This pain might be dull and aching, or it could be sharp and intermittent. If the aneurysm is pressing on a nerve, it could cause pain that radiates down your leg. Another potential symptom is a feeling of fullness or a pulsating sensation in the abdomen or pelvic area. Some people describe it as feeling a ‘heartbeat’ in their stomach or groin that isn’t their actual pulse. If the aneurysm is affecting the blood flow to your legs, you might experience leg pain, numbness, or coldness , especially during exercise, a condition known as claudication. In women, an internal iliac artery aneurysm could potentially cause abnormal vaginal bleeding or pain during intercourse , although these symptoms are not exclusive to aneurysms and can have many other causes. It’s crucial to remember that these symptoms are non-specific , meaning they can be caused by a wide range of other conditions. This is why it’s so important to see a doctor if you experience any persistent or concerning symptoms, especially if you have known risk factors for aneurysms. The lack of clear, distinct symptoms is precisely why screening becomes so vital for those at higher risk. You might not feel anything amiss, yet a potentially dangerous condition could be developing silently. Think of it like a ticking time bomb – you might not hear it ticking, but the danger is real. The most serious, and thankfully less common, symptom is associated with rupture . A ruptured internal iliac artery aneurysm is a medical emergency and is characterized by sudden, severe abdominal or pelvic pain, a sudden drop in blood pressure, rapid heart rate, and potentially fainting or loss of consciousness. This is due to massive internal bleeding and requires immediate medical attention. If you or someone you know experiences these severe symptoms, call emergency services immediately . The subtlety of symptoms in the early stages is a major challenge in diagnosing these conditions. Many patients attribute vague pelvic or back pain to arthritis or muscle strain, delaying medical evaluation. This underscores the importance of a thorough medical history and physical examination by a healthcare professional, especially when risk factors are present. So, while you might not feel anything, keep an ear out for persistent, unusual pain or sensations in your pelvic and abdominal region, and never hesitate to seek professional medical advice. It’s always better to be safe than sorry, guys.

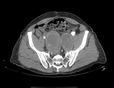
Diagnosis: How Doctors Find Internal Iliac Artery Aneurysms

So, you’ve got some symptoms, or maybe you’re in a high-risk group and your doctor suggests a check-up. How do doctors actually find these internal iliac artery aneurysms? Well, thankfully, there are several effective diagnostic tools available. The first step is usually a physical examination . Your doctor might be able to feel a pulsating mass in your abdomen or pelvic area, especially if the aneurysm is large. They will also take a detailed medical history, asking about your symptoms, family history of aneurysms, and risk factors like smoking and high blood pressure. If there’s a suspicion of an aneurysm, imaging tests are the next crucial step. Ultrasound is often the initial imaging modality used. It’s non-invasive, readily available, and can provide a good view of the iliac arteries, helping to identify the presence, size, and location of an aneurysm. However, ultrasound can sometimes be limited by factors like obesity or bowel gas. For more detailed and definitive imaging, doctors often turn to Computed Tomography (CT) scans or Magnetic Resonance Angiography (MRA) . A CT scan, especially a CT angiography (CTA), uses X-rays to create detailed cross-sectional images of your body. CTA involves injecting a contrast dye into your bloodstream, which highlights the blood vessels, allowing for very precise visualization of the aneurysm, its dimensions, and its relationship to surrounding structures. MRA uses magnetic fields and radio waves to create detailed images of blood vessels, and it’s another excellent option, particularly for patients who may need to avoid radiation or contrast dye. Sometimes, a traditional angiogram might be performed. This is a more invasive procedure where a thin, flexible tube (catheter) is inserted into an artery (usually in the groin) and guided to the iliac artery. Contrast dye is injected directly into the artery, and X-ray images are taken. While it’s more invasive, it can provide very detailed information about the blood vessels and is often used when planning for treatment. The choice of imaging test often depends on factors like the availability of the technology, the patient’s overall health, and the specific information the doctor needs. The goal of these diagnostic tests is not just to confirm the presence of an aneurysm but also to accurately measure its size, assess its shape, and determine its exact location. This information is critical for deciding on the best course of action, whether that’s watchful waiting or immediate intervention. So, rest assured, if an internal iliac artery aneurysm is suspected, doctors have a robust arsenal of tools to detect it accurately. Remember, early detection is key to successful management and preventing serious complications, so don’t hesitate to discuss any concerns with your healthcare provider, guys. It’s all about getting the right information to make informed decisions about your health.

Treatment Options: Managing and Repairing Internal Iliac Artery Aneurysms

When it comes to treating an internal iliac artery aneurysm, the approach really depends on a few key factors: the size of the aneurysm , its rate of growth , your overall health , and whether you’re experiencing symptoms . For small aneurysms that aren’t causing any problems and aren’t growing rapidly, the most common approach is watchful waiting , also known as surveillance. This involves regular check-ups and imaging tests (like ultrasounds or CT scans) to monitor the aneurysm’s size and ensure it’s not expanding dangerously. Along with this, managing risk factors is absolutely crucial. This means aggressively treating high blood pressure, quitting smoking (seriously, guys, this is one of the best things you can do for your vascular health!), and managing conditions like high cholesterol. Lifestyle changes, like adopting a healthy diet and regular exercise, also play a significant role in overall vascular health and can help slow down the progression of atherosclerosis, which often underlies aneurysms. Now, if an aneurysm is larger (generally considered to be above a certain diameter, though this can vary), growing quickly, or causing symptoms, then intervention becomes necessary. There are two main types of surgical or endovascular repair. The first is open surgical repair . This is a more traditional approach where the surgeon makes an incision in the abdomen or flank, locates the aneurysm, and then bypasses the weakened section of the artery using a graft (a synthetic tube). This is a major surgery and is typically reserved for more complex cases or when endovascular repair isn’t an option. The second, and often preferred, method is endovascular repair . This is a minimally invasive procedure. Using imaging guidance, a catheter is inserted through a small incision (usually in the groin) and advanced to the aneurysm. A stent-graft, which is a fabric-covered metal mesh tube, is then deployed within the aneurysm to reinforce the weakened artery wall and exclude the aneurysm from blood flow. This method generally involves less pain, a shorter hospital stay, and a faster recovery time compared to open surgery. The choice between open surgery and endovascular repair depends on various factors, including the aneurysm’s location, anatomy, and the patient’s specific medical condition. For internal iliac artery aneurysms, endovascular techniques have become increasingly common and successful. It’s really about choosing the safest and most effective strategy for each individual patient. The decision-making process involves a thorough discussion between the patient and their vascular specialist, weighing the risks and benefits of each approach. After repair, whether open or endovascular, regular follow-up imaging is still necessary to ensure the repair is functioning correctly and that no new aneurysms develop. So, whether it’s lifestyle changes and monitoring or a more active intervention, the goal is always to prevent rupture and maintain healthy blood flow. It’s a serious condition, but with proper management, the outcomes can be very positive, guys.

Living with an Internal Iliac Artery Aneurysm: Lifestyle and Long-Term Outlook

So, you or someone you know has been diagnosed with an internal iliac artery aneurysm. What does life look like moving forward? The long-term outlook for individuals with internal iliac artery aneurysms can be very positive, especially if the aneurysm is detected early and managed appropriately. The key word here, guys, is management . Whether you’re under a watchful waiting protocol or have undergone a repair, ongoing care and lifestyle adjustments are essential. If you’re in the watchful waiting phase, your life might not change dramatically day-to-day, but vigilance is paramount. This means attending all your scheduled follow-up appointments religiously. These appointments are crucial for monitoring the aneurysm’s size and growth rate. Your doctor will likely use imaging techniques like ultrasound or CT scans periodically. It’s also incredibly important to continue managing your risk factors . If you smoke, quitting is non-negotiable – it’s the single most impactful thing you can do for your vascular health. If you have high blood pressure or high cholesterol, ensuring these are well-controlled with medication and lifestyle changes is vital. A healthy diet, rich in fruits, vegetables, and whole grains, and low in saturated fats and sodium, will support your cardiovascular system. Regular, moderate exercise is also beneficial, but always discuss with your doctor what type and intensity of exercise is safe for you, especially if the aneurysm is large or you have other vascular conditions. After a repair (either open surgery or endovascular stent-graft), the outlook is generally excellent, but follow-up is still crucial. Your surgeon will want to monitor the repaired area to ensure it’s healing properly and there are no complications like leaks or graft issues. These follow-up scans are just as important as the initial treatment. Many people go on to live completely normal, active lives after successful repair. However, it’s important to be aware of potential long-term considerations. Sometimes, even after successful repair, new aneurysms can form elsewhere in the arterial system, which is why lifelong monitoring is often recommended, especially for those with a strong predisposition. Educating yourself and your loved ones about the condition is also a huge part of living well with it. Knowing the signs and symptoms of potential complications, and knowing when to seek immediate medical attention, can be life-saving. For instance, if you experience sudden severe pain, it’s an emergency. Communicating openly with your healthcare team about any new symptoms or concerns is also critical. They are your partners in managing this condition. While an internal iliac artery aneurysm might sound daunting, remember that medical science has made incredible advancements. With proactive management, regular medical care, and healthy lifestyle choices, individuals can lead long, fulfilling lives. The emphasis is on consistent care and awareness, guys. Don’t let the diagnosis cause undue anxiety, but rather, use it as motivation to take charge of your health. Stay informed, stay compliant with your medical advice, and keep those healthy habits going!

Conclusion: Proactive Health and Awareness

Alright guys, we’ve covered a lot of ground today on internal iliac artery aneurysms. We’ve learned what they are – those pesky bulges in important pelvic blood vessels. We’ve explored the common reasons they develop, like atherosclerosis and high blood pressure, and identified key risk factors such as age and smoking. We’ve also discussed how they can be silent threats, but that paying attention to symptoms like persistent pain or a pulsating sensation is crucial. Importantly, we’ve seen how modern medicine offers effective ways to diagnose these aneurysms using imaging like ultrasound and CT scans, and how they can be treated through watchful waiting, lifestyle changes, or surgical and endovascular repairs. The main takeaway from all of this is the power of proactive health and awareness . Internal iliac artery aneurysms might sound scary, but knowledge truly is power. By understanding the risks, recognizing potential signs, and maintaining open communication with your healthcare provider, you can significantly improve your outcomes. If you have risk factors, don’t hesitate to discuss screening options with your doctor. Regular check-ups are your best defense against these ‘silent threats.’ Remember, adopting a healthy lifestyle – quitting smoking, managing blood pressure and cholesterol, eating well, and exercising – not only benefits your overall health but is also critical in preventing the progression of vascular diseases like aneurysms. Ultimately, managing an internal iliac artery aneurysm, whether through monitoring or intervention, allows for a good long-term outlook. So, let’s commit to staying informed, staying vigilant, and taking charge of our vascular health. Your body will thank you for it, guys! Stay healthy!