Orchitis & Epididymitis: Understanding The Conditions

V.Ijoomla 132 views
Orchitis & Epididymitis: Understanding The Conditions

Orchitis & Epididymitis: Understanding the Conditions

Hey guys! Let’s dive into something super important for the fellas out there: orchitis and epididymitis . These terms might sound a bit intimidating, but understanding what they mean is key to your health. So, what exactly are orchitis and epididymitis ? In simple terms, orchitis is the inflammation of one or both testicles, while epididymitis is the inflammation of the epididymis, a coiled tube located at the back of the testicle that stores and carries sperm. These conditions often occur together, which is why you’ll frequently hear them referred to as orchitis-epididymitis. Understanding the meaning behind these medical terms is the first step toward recognizing symptoms, seeking timely treatment, and ultimately, maintaining reproductive health. Many guys might feel embarrassed or unsure about discussing these issues, but trust me, they are common, and medical professionals are there to help without judgment. The primary cause for both is usually an infection, often bacterial, which can spread from the urinary tract or sexually transmitted infections (STIs). However, viral infections, like the mumps virus (though less common now due to vaccination), can also trigger orchitis. Knowing this helps in understanding how prevention plays a role, too. For instance, practicing safe sex can significantly reduce the risk of STIs that lead to these inflammations. The key takeaway here is that orchitis and epididymitis meaning boils down to inflammation in crucial parts of the male reproductive system, typically due to infection. This inflammation can cause significant discomfort, pain, and swelling, impacting daily life and potentially leading to more serious complications if left untreated. So, let’s break down what these conditions entail, their causes, symptoms, and why it’s so vital not to ignore them.

Delving Deeper: What is Orchitis? What is Epididymitis?

Alright, let’s get a bit more specific, shall we? When we talk about orchitis and epididymitis meaning , we’re talking about inflammation in two distinct but related areas. First, orchitis . This condition directly affects the testicles, those vital organs nestled in the scrotum that produce sperm and testosterone. When a testicle becomes inflamed, it’s called orchitis. It can affect one testicle (unilateral) or both (bilateral), though unilateral is more common. The inflammation can cause the testicle to become swollen, tender, and painful. It can feel heavy, and the pain might range from a dull ache to a sharp, severe pain. This inflammation can be caused by various factors, but the most frequent culprit is an infection. Bacterial infections are common, often stemming from a urinary tract infection (UTI) or an STI like chlamydia or gonorrhea. These bacteria can travel up from the urethra into the reproductive tract and reach the testicle. Viral infections are another cause, with the mumps virus being a classic example, although its incidence has dropped thanks to widespread mumps vaccinations. Less commonly, orchitis can result from other infections or even trauma to the testicle. Now, let’s talk about epididymitis . The epididymis is a C-shaped structure that sits on the back of each testicle. Its main job is to mature and store sperm produced by the testicles before they are ejaculated. Think of it as a crucial pathway and storage unit for sperm. When this structure becomes inflamed, it’s called epididymitis. Like orchitis, it can cause pain, swelling, and tenderness. The pain often starts at the bottom of the scrotum and can move upwards. It’s important to note that epididymitis can also lead to fever, chills, and sometimes a discharge from the penis. The most common cause of epididymitis, especially in sexually active men between 18 and 35, is an STI, particularly chlamydia and gonorrhea. In older men or those who are not sexually active, epididymitis is often caused by bacteria from the urinary tract, similar to UTIs. So, when we discuss the meaning of orchitis and epididymitis , it’s about recognizing these specific inflammations. They often happen together because the epididymis is so closely connected to the testicle. An infection that inflames the epididymis can easily spread to the testicle, and vice versa. Understanding this anatomical connection is vital for grasping why these conditions are frequently discussed in tandem and why symptoms can overlap.

Causes: Unpacking the Origins of Orchitis and Epididymitis

Let’s get down to the nitty-gritty, guys, and really unpack the causes behind orchitis and epididymitis . Understanding these origins is crucial because it informs prevention and treatment strategies. So, what typically triggers these inflammations? The overarching theme is infection . For orchitis , bacterial infections are the most common offenders. These bacteria can originate from a urinary tract infection (UTI) that has spread upwards. Imagine bacteria making their way from the bladder or urethra into the reproductive tract and eventually reaching the testicle. Pretty unpleasant, right? Sexually transmitted infections (STIs) are also a major cause of bacterial orchitis, especially in younger, sexually active men. Chlamydia and gonorrhea are notorious for this. If left untreated, these STIs can lead to inflammation not just in the urethra but also in the epididymis and testicles. Beyond bacterial infections, viral infections can also cause orchitis. The most well-known is the mumps virus. Remember getting that mumps shot as a kid? That was partly to prevent mumps orchitis, which can occur in about 20-30% of post-pubertal males infected with mumps and can sometimes lead to infertility. Other viruses can also be responsible, though less frequently. In some cases, orchitis might arise from non-infectious causes, such as trauma to the scrotum or testicles, or even as a complication of surgery in the groin area. However, infections remain the primary drivers. Now, shifting gears to epididymitis , infections are also the main culprits here. For sexually active men under 35, STIs like chlamydia and gonorrhea are the leading cause. The bacteria directly infect the epididymis, causing inflammation. For men over 35, or those who are not sexually active, the causes often shift to bacteria typically found in the urinary tract, like E. coli. These bacteria can enter the epididymis from the bladder or prostate, often associated with conditions like UTIs, prostate infections (prostatitis), or sometimes even after procedures like catheterization. It’s also worth noting that some medications, like certain heart rhythm drugs (e.g., amiodarone), can rarely cause epididymitis as a side effect. So, when considering the meaning of orchitis and epididymitis in terms of their causes, the key takeaway is that infections—both bacterial (from STIs and UTIs) and viral—are the primary culprits. Understanding which type of infection is involved is critical for selecting the right antibiotic or antiviral treatment and for preventing future occurrences. Prevention, guys, is always better than cure, and that means practicing safe sex and seeking prompt medical attention for any signs of infection in the urinary or reproductive tract.

Recognizing the Signs: Symptoms of Orchitis and Epididymitis

Okay, let’s talk symptoms, because recognizing the signs of orchitis and epididymitis is absolutely crucial for getting help quickly. Ignoring these symptoms could lead to complications, so it’s vital to know what to look out for. The pain is usually the first thing guys notice. With orchitis , you might experience sudden, severe pain in one or both testicles. The affected testicle(s) will likely be swollen, red, and feel very tender to the touch. It might even feel heavier than usual. You could also develop a fever, chills, nausea, and vomiting, especially if the orchitis is due to a bacterial infection. The pain can sometimes radiate to the groin or lower abdomen. When it comes to epididymitis , the symptoms can be quite similar, and often, both conditions occur together. You might notice a gradual onset of pain and swelling in the scrotum, often starting at the back of the testicle and progressing upwards. The epididymis itself might feel like a firm, lumpy mass on the back of the testicle. Besides pain and swelling, common symptoms include a feeling of heaviness in the scrotum, redness and warmth of the skin over the affected area, and sometimes a discharge from the penis. You might also experience urinary symptoms like a burning sensation during urination, increased frequency or urgency to urinate, or even blood in the urine. Fever and chills are also common, indicating a systemic infection. It’s important to note that the severity of symptoms can vary greatly. Some guys might experience mild discomfort, while others face intense pain and significant swelling. The crucial point here, regarding the meaning of orchitis and epididymitis and their symptoms, is that any significant pain, swelling, redness, or discharge originating from the scrotum or testicles warrants immediate medical attention. Don’t try to tough it out! These symptoms can mimic other serious conditions, like testicular torsion (a medical emergency where the spermatic cord twists, cutting off blood supply), so a proper diagnosis from a healthcare professional is essential. Early detection and treatment are key to preventing long-term issues like chronic pain, abscesses, or even infertility.

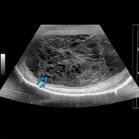
When to Seek Help: Diagnosis and Treatment Options

So, you’ve recognized some concerning symptoms, and now you’re wondering, “What’s next?” It’s time to talk about diagnosis and treatment for orchitis and epididymitis . The most important step, guys, is to seek medical help immediately if you suspect you have either of these conditions. Don’t delay! A healthcare provider will start by taking a detailed medical history and performing a physical examination. They’ll check for swelling, tenderness, and redness in the testicles and scrotum. They might also check for any signs of infection elsewhere, like in the urethra or prostate. To confirm the diagnosis and identify the specific cause, several tests might be ordered. A urinalysis can detect signs of infection in your urine. A urine culture can identify the specific bacteria causing the infection. If an STI is suspected, a swab from the urethra or a urine sample can be tested for chlamydia and gonorrhea. In some cases, a doctor might order an ultrasound of the scrotum. This imaging test uses sound waves to create detailed pictures of the testicles and surrounding structures. It’s particularly useful for ruling out other serious conditions like testicular torsion and can help visualize the inflammation in the testicle or epididymis. Once the diagnosis is confirmed, treatment for orchitis and epididymitis typically focuses on eliminating the underlying infection and managing the symptoms. If a bacterial infection is identified, antibiotics are the cornerstone of treatment. The type of antibiotic prescribed will depend on the specific bacteria identified and whether it’s an STI-related infection or one stemming from the urinary tract. It’s absolutely critical to finish the entire course of antibiotics, even if you start feeling better, to ensure the infection is fully eradicated. For viral infections like mumps orchitis, antibiotics won’t help, and treatment is usually supportive, focusing on rest and pain relief. Pain and inflammation are managed with over-the-counter or prescription pain relievers like ibuprofen or naproxen. Applying a cold compress to the scrotum can also help reduce swelling and discomfort. Resting, elevating the scrotum with a supportive bandage (like an athletic supporter), and avoiding sexual activity during treatment are also important recommendations. In more severe cases, such as if an abscess (a collection of pus) forms, hospitalization and drainage might be necessary. So, understanding the meaning of orchitis and epididymitis goes hand-in-hand with knowing that prompt diagnosis and appropriate treatment are essential for a full recovery and to prevent long-term complications. Don’t hesitate to reach out to your doctor – they’ve got your back!

Prevention and Long-Term Outlook

Finally, let’s touch upon prevention and what the long-term outlook looks like for guys dealing with orchitis and epididymitis . The good news is that in many cases, these conditions are preventable and treatable, leading to a full recovery. Prevention largely revolves around addressing the root causes. Practicing safe sex is paramount, especially for younger, sexually active men. Using condoms consistently and correctly significantly reduces the risk of STIs like chlamydia and gonorrhea, which are major triggers for epididymitis and can lead to orchitis. Regular health check-ups and getting vaccinated, particularly against the mumps virus, are also key preventive measures. If you have a history of UTIs or prostate issues, managing these conditions effectively with your doctor can help prevent infections from spreading to the epididymis or testicles. Good hygiene practices are also important. For those who have experienced orchitis and epididymitis , the outlook is generally positive with prompt and appropriate medical care. Most men recover completely without lasting effects, especially if treatment is started early. However, if treatment is delayed or the infection is severe, there can be complications. One concern is the potential for infertility . Severe or recurrent inflammation, particularly in both testicles, can sometimes damage the sperm-producing tissues or block the pathways for sperm, potentially affecting fertility. Another possible complication is the development of chronic pain in the scrotum or testicles, which can persist long after the infection has cleared. In rare cases, untreated infections can lead to an abscess within the testicle or scrotum, requiring surgical drainage. So, understanding the meaning of orchitis and epididymitis means grasping that while they are usually treatable, taking them seriously and seeking care are crucial for a good long-term prognosis. Educating yourself, staying vigilant about your sexual health, and not hesitating to see a doctor if you notice any unusual symptoms are the best strategies. Remember, taking care of your reproductive health is a vital part of your overall well-being, guys!