Pulmonary Segments On Chest X-Ray: A Comprehensive Guide

V.Ijoomla 12 views
Pulmonary Segments On Chest X-Ray: A Comprehensive Guide

Pulmonary Segments on Chest X-Ray: A Comprehensive Guide

Understanding pulmonary segments on a chest X-ray is crucial for accurately diagnosing and treating various lung conditions. Guys, if you’re diving into the world of radiology or just trying to make sense of your own medical reports, this guide is for you! We’ll break down everything you need to know, from the basics of lung anatomy to identifying specific segments on an X-ray.

Understanding Lung Anatomy

Before we jump into the X-rays, let’s get cozy with some lung anatomy. Your lungs aren’t just big balloons; they’re intricately divided into lobes and segments. The right lung has three lobes: the upper, middle, and lower lobes. The left lung, being the slightly smaller sibling (to make room for the heart), has two lobes: the upper and lower lobes. Each of these lobes is further divided into segments, which are like smaller, self-contained units. These segments are separated by connective tissue, allowing for more localized diagnosis and treatment. Think of it like a well-organized apartment building, where each apartment (segment) can be managed individually.

The right lung boasts 10 segments: upper lobe (apical, posterior, anterior), middle lobe (lateral, medial), and lower lobe (superior, medial basal, anterior basal, lateral basal, posterior basal). The left lung typically has 8 segments: upper lobe (apicoposterior, anterior, superior lingular, inferior lingular) and lower lobe (superior, anteromedial basal, lateral basal, posterior basal). Understanding this division is essential because many lung diseases tend to affect specific segments. For instance, aspiration pneumonia often occurs in the posterior segment of the right upper lobe or the superior segment of the right lower lobe due to gravity when a person is lying down. Knowing which segment is affected helps doctors narrow down the potential causes and tailor the treatment accordingly. Moreover, this segmental anatomy guides surgical resections. Surgeons can remove a diseased segment while preserving the healthy lung tissue, which is especially important in cases of early-stage lung cancer or localized infections. So, next time you breathe, remember that your lungs are a marvel of engineering, meticulously segmented for optimal function and targeted medical interventions.

Why Chest X-Rays Are Important

Chest X-rays are a cornerstone of medical diagnostics, acting as a quick and relatively inexpensive way to peek inside your chest. They use small doses of radiation to create images of your heart, lungs, blood vessels, and bones. These images can reveal a plethora of information, from detecting pneumonia and heart failure to spotting lung cancer and other abnormalities. In the context of pulmonary segments, chest X-rays help doctors identify which specific areas of the lung are affected by disease. For example, if a patient has a persistent cough and fever, a chest X-ray can show consolidation (a fancy word for lung tissue filled with fluid) in a particular segment, suggesting pneumonia in that area. This localization is incredibly valuable for diagnosis.

Moreover, chest X-rays are often the first step in evaluating patients with respiratory symptoms. They can quickly rule out or suggest serious conditions, guiding further investigations like CT scans or bronchoscopies. They’re also used to monitor the progression of lung diseases and the effectiveness of treatments. For example, a series of chest X-rays can show whether an antibiotic is clearing up pneumonia or whether a tumor is shrinking in response to chemotherapy. While chest X-rays have limitations (they don’t always catch small abnormalities and can be less detailed than CT scans), they remain an indispensable tool in the radiologist’s and clinician’s arsenal due to their accessibility and speed. Think of them as the trusty first responders of the imaging world, providing crucial initial insights that guide further action. Regular chest X-rays are also essential for people at high risk of lung diseases, such as smokers or those with occupational exposure to lung irritants. Early detection through chest X-rays can lead to timely interventions and better outcomes, highlighting their continued importance in preventive care.

Identifying Pulmonary Segments on Chest X-Rays

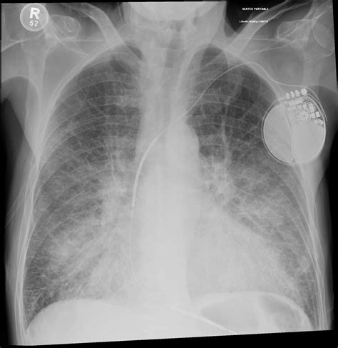
Okay, let’s get to the nitty-gritty. How do you actually spot these pulmonary segments on a chest X-ray? It’s like reading a map, but instead of streets and landmarks, you’re looking for subtle differences in density and shadows. First off, remember that a standard chest X-ray is a two-dimensional image of a three-dimensional structure, which means things can overlap and appear distorted. But don’t worry, with a bit of practice and some key anatomical knowledge, you’ll get the hang of it.

Start by identifying the major landmarks: the trachea, heart, diaphragm, and ribs. Then, focus on the lung fields themselves. Look for any areas of increased density (appearing whiter) or decreased density (appearing darker). These could indicate abnormalities within the segments. For example, a consolidation in the right upper lung field might suggest pneumonia in the apical or posterior segment of the right upper lobe. You’ll also need to mentally superimpose the anatomical map of the pulmonary segments onto the X-ray image. This takes practice, but there are plenty of resources available, including diagrams and online tutorials, that can help. Additionally, pay attention to the angles of the X-ray. A PA (posterior-anterior) view is standard, but sometimes a lateral view is also taken, which can provide a different perspective and help you better localize abnormalities. Remember, identifying pulmonary segments on a chest X-ray isn’t about memorizing exact locations; it’s about understanding the underlying anatomy and recognizing patterns of disease. With patience and persistence, you’ll become a pro at spotting those segments in no time.

Tips for Reading Chest X-Rays

Reading chest X-rays can feel like deciphering an ancient language at first, but with some handy tips and a bit of practice, you’ll be interpreting them like a pro. Here are some pointers to help you on your way:

  • Always compare: Compare the current X-ray with any previous ones. This helps you identify changes over time, which can be crucial for diagnosing progressive diseases.
  • Use a systematic approach: Develop a routine for examining the X-ray. Start with the bones, then move to the soft tissues, mediastinum, and finally, the lungs. This ensures you don’t miss anything.
  • Look for symmetry: The lungs should generally look symmetrical. Asymmetry can indicate problems like a collapsed lung or a mass.
  • Check the hila: The hila are the areas where the major blood vessels and bronchi enter the lungs. They should be clearly defined and not enlarged.
  • Don’t be afraid to ask for help: If you’re unsure about something, consult with a radiologist or experienced colleague. Two sets of eyes are always better than one!

Common Pathologies and Their Appearance

Knowing what common lung diseases look like on a chest X-ray is half the battle. Here’s a quick rundown of some frequent culprits:

  • Pneumonia: Appears as consolidation (white patches) in one or more segments.
  • Pulmonary Edema: Shows up as increased fluid in the lungs, often with a “batwing” appearance around the hila.
  • Pneumothorax: Characterized by a dark area (air) outside the lung, with a visible lung edge.
  • Lung Cancer: Can present as a mass, nodule, or infiltrate in the lung.
  • COPD: May show hyperinflation of the lungs and flattened diaphragms.

Advanced Imaging Techniques

While chest X-rays are fantastic for initial assessments, sometimes you need a more detailed look. That’s where advanced imaging techniques come in. CT (computed tomography) scans, for instance, provide cross-sectional images of the chest, offering much greater detail than a standard X-ray. They can reveal smaller nodules, subtle infiltrates, and other abnormalities that might be missed on an X-ray. MRI (magnetic resonance imaging) is another powerful tool, particularly useful for evaluating soft tissues and blood vessels in the chest. It doesn’t use radiation, making it a good alternative for certain patients, like pregnant women. Another advanced technique is PET/CT (positron emission tomography/computed tomography), which combines the anatomical detail of a CT scan with the functional information of a PET scan. This is particularly helpful for staging lung cancer and assessing treatment response. These advanced imaging techniques play a crucial role in diagnosing and managing complex lung conditions, providing valuable information that complements chest X-ray findings.

Conclusion

So, there you have it, guys! A comprehensive guide to understanding pulmonary segments on chest X-rays. It might seem daunting at first, but with a solid grasp of lung anatomy, a systematic approach to reading X-rays, and a willingness to learn, you’ll be well on your way to mastering this essential skill. Keep practicing, stay curious, and remember, every X-ray tells a story! Happy reading!